スイスのチューリッヒ大学の研究で、新型コロナウイルスは血管内皮にも感染していたと判明。
冠状動脈疾患と動脈性高血圧を患ってた71歳の男性患者を解剖し、
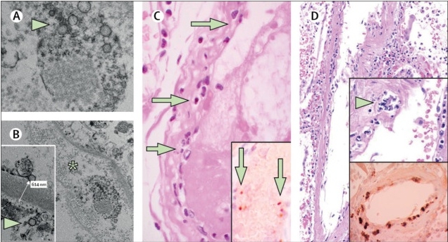
以下の部位に新型コロナウイルスが感染していたと突き止めたそうです。

画像のAとBは腎臓の内皮細胞に新型コロナウイルスが感染した部分。
Cは心臓と小腸、Dは肺とのこと。
また、殆どの肺血管は鬱血していたとのこと。
この男性は入院8日目で多臓器不全となって死亡。
他、58歳の女性と69歳の男性も解剖して同様の内皮炎を発見しています。
女性の場合は肝細胞の壊死が起きていたそうです。
Endothelial cell infection and endotheliitis in COVID-19
血管内皮に、しかも腎臓だの小腸だの心臓にすら感染するのなら、
快癒した患者が再発するのも無理もない話ですね。
一旦感染したら、体内のあらゆる血管に潜伏すると言えます。
呼吸器の症状が無くなっても、血管のどこかにまだウイルスがいるわけです。
PCR検査用に鼻の奥の粘膜を採取して陰性だったとしても、
どこかの血管に潜伏しているのだから、
あまり意味がないんじゃないでしょうか……。
にほんブログ村
Tweet
この記事のショートリンク